Understanding the 2025 Promise and Reality of Photon Counting CT
Guide to the Light and Shadow of Photon Counting CT Welcome, fellow creatures of the radiology darkness. I am Count…
Photon Counting CT in Cardiovascular Imaging: 2025 Evidence-Based Research Report
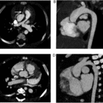
Clinical Implementation of PCCT In the last 5 years, more than 200 scientific articles have been written on photon-counting CT…

